Caso clínico mordida cruzada anterior Placa Bertoni – 05
Caso clínico de ortodoncia con mordida cruzada anterior de origen dental tratado con una Placa de Bertoni. Podemos observar que se trata de un paciente en dentición mixta con una mordida cruzada anterior completa donde los incisivos superiores ocluyen por lingual de los inferiores. Se trataba de un paciente de [...]
Caso clínico mordida cruzada anterior Brackets – 04
Niño en dentición mixta con Clase I que presenta una mordida cruzada anterior dental (MCAD). En las imágenes intraorales iniciales observamos la mordida cruzada anterior del incisivo central derecho superior con el incisivo central izquierdo inferior junto con una afectación gingival. En este caso se decidió colocar aparatología fija multibrackets [...]
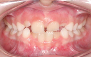
Caso clínico mordida cruzada anterior Quad Helix – 03
Paciente con 7 años de edad que presenta una mordida cruzada anterior dental (MCAD). En las imágenes intraorales iniciales observamos la mordida cruzada anterior del incisivo central izquierdo superior con el incisivo central izquierdo inferior. La paciente presentaba una clase I molar y canina, junto con una Clase I esquelética. [...]
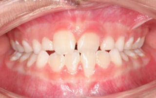
Caso clínico mordida cruzada anterior Placa Progenie – 02
Mordida cruzada anterior con incisivos inferiores proinclinados y tratado con una placa de progenie. Paciente con 6 años de edad que presenta una mordida cruzada anterior dental (MCAD). En las imágenes intraorales iniciales observamos la mordida cruzada anterior a nivel de los incisivos centrales. En la radiotelegrafía lateral de cráneo [...]
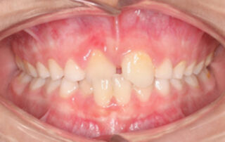
Caso clínico mordida cruzada anterior Pistas Composite – 01
Mordida cruzada anterior tratada con pistas de composite y sin aparatos de ortodoncia. Paciente de 7 años de edad que presenta una mordida cruzada anterior del incisivo central izquierdo superior (2.1) con los incisivos central y lateral izquierdos inferiores (3.1 y 3.2). Ya que presenta una clase I esquelética y [...]
