Placa de Bertoni
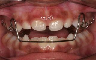
¿Qué es una placa de Bertoni? Una placa de Bertoni es una placa activa de ortodoncia que sirve para realizar expansión posterior y/o protrusión anterior. También es conocida como Placa doble o triple Bertoni. ¿Para qué sirve una placa de Bertoni? [...]
